Otoscape
Sections
Basic Science
0 chapters
General Otolaryngology
0 chapters
Facial Plastics
0 chapters
Pediatric Otolarygology
0 chapters
Otology & Neurotology
0 chapters
Rhinology
0 chapters
Head & Neck Oncology
0 chapters
Laryngology
0 chapters
Cancer Staging
Summary of AJCC 8th Edition Staging Guidelines
Introduction
Shared Nodal Categorization & Group Staging
Oral Cavity
Oropharynx (p16-)
Oropharynx (p16+)
Hypopharynx
Larynx
Esophagus and Esophagogastric Junction
Nasal Cavity & Paranasal Sinuses
Nasopharynx
Major Salivary Glands
Sarcomas of the Head & Neck
Cutaneous Carcinoma of the Head & Neck
Cutaneous Melanoma
Mucosal Melanoma of the Head & Neck
Merkel Cell Carcinoma
Thyroid (Differentiated)
Thyroid (Medullary)
Thyroid (Anaplastic)
Parathyroid
Images
Glossary
About
Otoscape
A
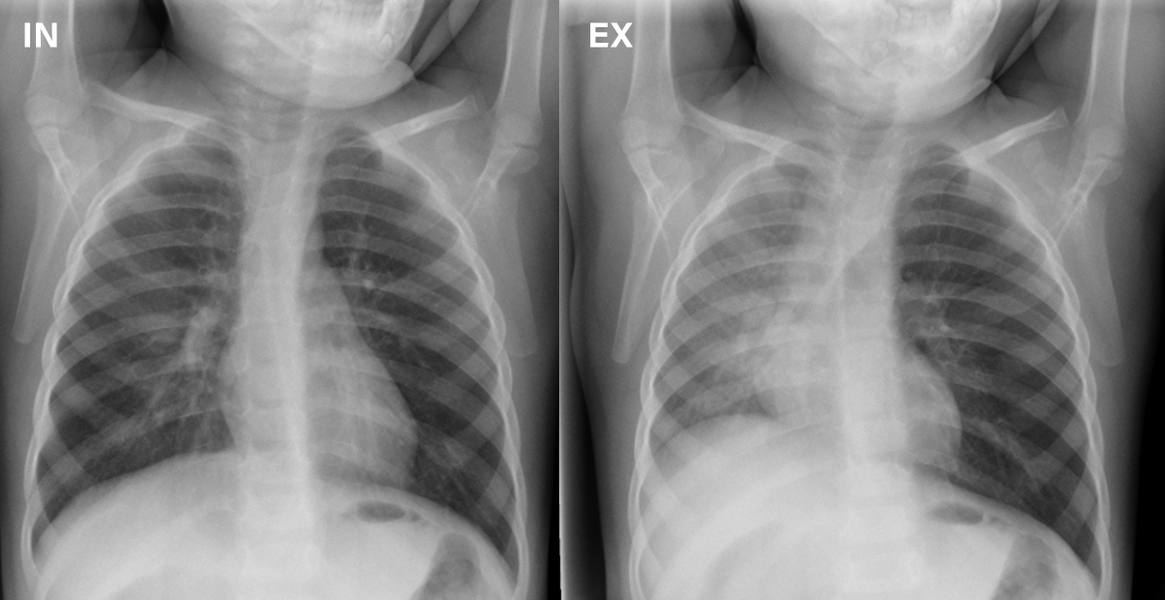
Airway Foreign Body
C
Cholesteatoma
G
Glomus Tympanicum
H
Hemotympanum
L
Laryngomalacia
M
Middle Ear Effusion
Myringosclerosis
N
Normal Tympanic Membrane
O
Oral Cavity Carcinoma
Oropharyngeal Carcinoma
Ossicular Chain Fixation
P
Pars Flaccida Retraction
Pars Tensa Retraction
Peritonsillar Abscess
R
Recurrent Respiratory Papillomatosis
S
Subglottic Stenosis
Supraglottitis
Surfer’s Ear (Exostoses)
T
Tympanic Membrane Perforation
Tympanostomy Tubes
V
Vocal Fold Nodules
Otolaryngology
Image Atlas
Airway Foreign Body